If You Have Receding or Unhealthy Gums, Here Are Proven Solutions


Science | By Cole Damon | April 13, 2018

People aren't caring for their gums the way they used to do in the past, and this is becoming a growing trend. Many people are showing neglect in this case, and they ultimately regret showing the neglect they showed at the start of it all. These guys don't take care of their dental health and then rue the opportunity once time has gone by.

Perfect Smile

A perfect smile is a wonderful representation of someone who takes care of their oral health and does not let issues regarding their dental health slide by. Such people are wary of their health and take good care of it.

Tooth Decay

Hardly anyone in the world today has healthy teeth in the world. Our lack of interest in getting our teeth maintained and check regularly has meant that around 20% to 90% children in the States can be prone to tooth decay.

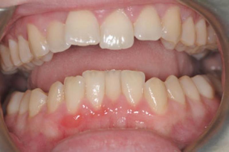
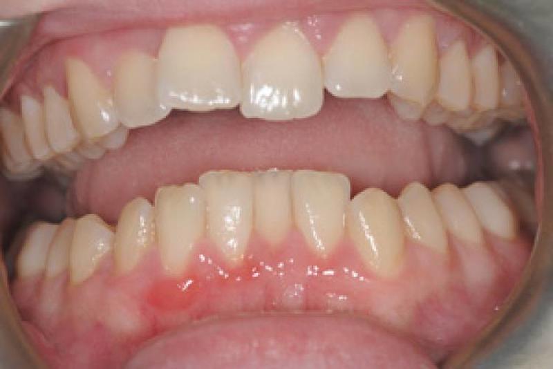
Solutions for Unhealthy Gum

Unhealthy gums are something that we need a solution for fast. These unhealthy gums can make life difficult for us and we need to think of a solution that addresses the problem in its original form. Here we take a look at the solutions.

Increase Calcium Intake

Increasing your calcium intake can go a long way in clearing you away from the danger of tooth decay and unhealthy gums. Calcium can have immediate impact on the state of your gum and may force a change there.

Products

Products that you can add to your diet for improved calcium intake include raw milk and almond among many others. Kale and Yogurt are other items that can make people increase the healthiness of their gums in a fast manner.

Dental Tools

It is necessary that you regularly change your dental tools for immediate impact. Changing your dental tools can speed up the progress of the treatment and may leave you at a stage of change faster than other treatments.

Expiry Date

The tools that you use to take care of your teeth have an expiry date to them, and you should at all times ensure that you adhere to the expiry date on these products. Not doing so can have serious implications on your gums.

Dental tools

Your toothbrush has an expiry date of 3 to 4 months, so get rid of it after that. Your mouthwash liquid is good for 2-3 years, anything after that can be harmful. Your toothpaste should also be used only for 2 years after manufacturing.

Checkups

To look after your dental health and the health of your gums, it is imperative that you do not ignore the checkups that you have planned with the dentist. These checkups are extremely important and it is necessary that you have them planned.

Dental Checkups

It is advised that you get a dental checkup from an expert dentist every once in a while. It is said that a routine checkup should be had once every 6 months, while a professional teeth cleaning checkup should be taken after every 3-5 months.

Daily Dental Care

Besides getting your teeth checked by a dentist, it is extremely imperative that you also perform daily acts of dental care. Brush your teeth almost every day at least 2 times a day, and floss your teeth after every food intake.

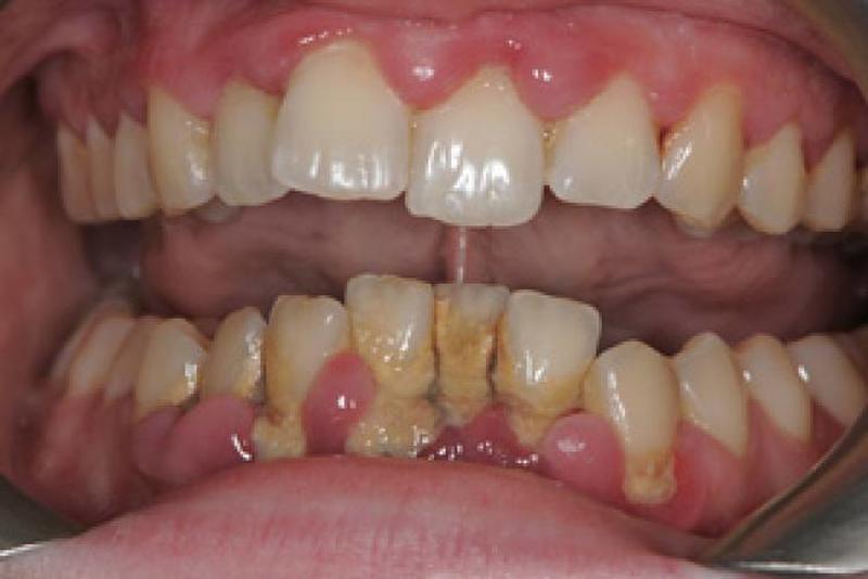
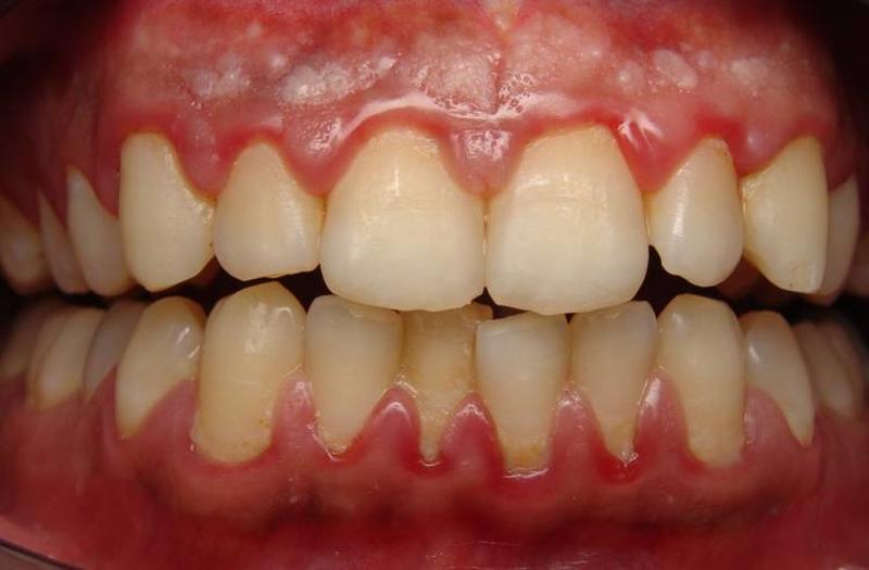
Use Remedies

We can face receding gums because of many problems. While it is necessary that you take care of your teeth regularly, it will be difficult to stay away from the danger of receding gums in your life time.

Aloe Vera

Aloe Vera can work as a useful remedy, since it contains properties that can clean your teeth and make your gums speed up their rejuvenation process. Aloe Vera can be useful in many cases of life including with teeth.

Oil Pulling

Oil Pulling is one method of oral health maintenance that is not really pleasant. What you need to know is to take one table spoon of virgin coconut oil and swirl it inside your mouth for over 20 minutes. This will help clean your teeth.


Copyright © 2026 CultureHook