15 Signs That Your Liver May Have a Serious Problem


Science | By Harriet King | November 22, 2017

If there's one thing we can all agree on, it's that most of us generally make our livers work very hard. Almost a little too hard. As the organ responsible for detoxifying our bodies and helping us metabolize all of the food passing through the body, we don't have to tell you how important it is to our survival. Another good thing about the liver is that it's very good at letting us know when there's something wrong, so pay close attention to the signs!

Abdominal Pain

If you're feeling pain in the liver area, it could be a sign that it's inflamed. Your liver is located in the upper right-hand side of your abdomen, so take note if you've been feeling cramps or aches there recently.

Yellow Skin

Skin that has a yellow tinge to it is more commonly known as jaundice. It can also affect the eyes. Jaundice is caused by the liver being unable to process the waste from old red blood cells, which is a huge sign that something is up.

Nausea

When it comes to illness, nausea can be a symptom of a number of different problems, so don't jump to conclusions if this is the only symptom you've experienced. Get it checked out by your doctor, but it could just be a stomach bug.

Strange Colored Poop

Normal poop is generally brown in color. If it changes from brown to a pale yellow or gray, it's a definite sign that something is wrong. Also take note if your poop changes to a tar color and if there's blood present.

Fatigue

Just like nausea, fatigue could mean anything when experienced separately from other symptoms. Don't jump the gun thinking you've got liver disease, but definitely try to pay a visit to your doctor to find out what the problem might be.

Swelling Of The Abdomen

When advanced liver disease has taken hold of the body, it's common to experience fluid retention, which usually manifests as abdominal swelling or swelling in the legs or ankles. This fluid retention is caused by a decline in kidney function.

Bad Breath And Body Odor

You wouldn't think it, but bad breath or bad body odor beyond what is normal for you can be a sign that you have liver disease. If that new mouthwash doesn't seem to be working for you, it could be a signal of something more serious.

Bruising Easily

You may be someone who has bruised easily your whole life. But if that's not you and you've been getting bruises from small bumps or bumps so insignificant you don't even remember them, it could mean serious problems for your liver.

Erectile Dysfunction

When the liver is under stress or liver disease is in full swing, it can't regulate hormones as well as it usually does. This means that anyone with a penis may experience erectile dysfunction, as well shrinking of the testicles when they have liver problems.

Short-Term Memory Loss

Experiencing memory loss or just general confusion is not uncommon for liver disease sufferers. One of the liver's core duties is detoxifying the body, so when it can't do that, additional toxins find their way to the brain and cause memory problems.

Itchy Skin

When the liver has been damaged, it's not unusual for a chemical from bile to appear in the bloodstream. People with liver disease have been known to experience very itchy skin when this chemical has built up in the bloodstream.

Spider Angiomas

If you notice the development of spider-like capillaries underneath your skin, it could be a sign of liver disease. These are caused by swollen blood vessels and sometimes mean nothing. But if you have more than three, you should get your liver checked.

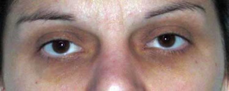
Dark Circles Under Eyes

The appearance of dark circles or 'bags' under the eyes is usually associated with lack of sleep. But in some cases, it is an indicator that the liver is under stress. This is occasionally also paired with blemishes on the skin.

Male Breasts

The scientific name is 'gynecomastia,' the slang term is 'moobs.' Whatever you call them, they're a possible sign of liver disease. As with erectile dysfunction and testicle shrinking, it's caused by the liver's inability to regulate hormones correctly when under stress.


Copyright © 2026 CultureHook